بسمه تعالی

بیماری سالک یا لیشمانیوز جلدی 1      

 

 

 

 

 

 

 

 

                                                   

       گر چه خوشبختانه   هنوز مورد تایید شده ای از بیماری سالک که انتقال بیماری در بخش میمه و اطراف آن اتفاق افتاده باشد، مشاهده نشده، لیکن به دلیل تسهیل مسافرت ها و افزایش حجم مراجعات اهالی محترم بخش میمه به شاهین شهر و اطراف آن مانند گز و برخوار بدلیل وجود مرکزیت فرمانداری شاهین شهر و میمه، خطر ابتلائ به این بیماری  بطور بالقوه  برای اهالی بخش میمه وجود داشته، در حال افزایش می باشد. به همین دلیل  حسب نوع رشته تخصصی  خود،احساس تکلیف کردم  تا این بیماری مهم  و قابل توجه را بطور ساده  برای همشهریان محترم  توصیف نموده و روش های پیشگیری از ابتلائ به آن را ارائه نمایم باشد که مورد توجه  اهالی محترم بخش میمه قرار گیرد.

                         بیماری سالک یا لیشمانیوز جلدی، یکی از بیماری های انگلی با قدمت بسیار زیاد است. این بیماری که در مناطق مختلف ایران با اسامی دیگری مثل کپه(به ضم کاف و کسر پ) در اصفهان و اطراف آن، سالدانه یا دانه سال در شمال ، زخم سرخسی  در شمال شرق ، زخم خرما و خرما تشک در مناطق جنوبی ایران معروف است،  اغلب به نام سالک به معنی سال کوچک (حدود 9-11 ماه) و به زبان علمی لیشمانوز جلدی یا پوستی (cutaneous leishmaniasis) نامیده می شود. در قدیم بنام زخم خیرونیه یا جیرونیه معروف بوده است و تقریبا در تمام متون پزشکی و کتبی چون قانون بوعلی سینا، الحاوی رازی و دیگر منابع طب قدیم از زخم دراز مدتی که ماهها بطول می انجامیده بحث شده است.

   هم اکنون این بیماری در بسیاری از مناطق دنیا و از جمله در خاورمیانه  به شکل بومی  حضور دارد. در کشور ما نیز این بیماری بومی بسیاری از مناطق  و استانها است. اصفهان مهمترین کانون سالک ایران است و همه ساله تعداد قابل توجهی از افراد به این عفونت مبتلا می شوند. منطقه ای به طول 50 و عرض 20 کیلومتر در شمال زاینده رود از حوالی مورچه خورت تا باطلاق گاو خونی از مناطق بسیار آلوده است. بعلاوه مناطقی مانند بادرود، نطنز، زیارتگاه اقا علی عباس، نوشاباد  تا کاشان نیز از جمله مناطق بومی این بیماری است.

     این عفونت بر اساس ناحیه ای از بدن که انگل در آن مستقر و تکثیر می کند به سه شکل: جلدی(پوستی) – جلدی مخاطی و احشایی(کالاآزار) دیده می شود. در ایران وبسیاری از مناطق دنیا دو شکل جلدی و احشایی آن شیوع دارد هر چند فرم جلدی مخاطی آن محدود به  قاره جدید(آمریکا) می باشد.

    فرم احشایی آن در سرتاسر ایران  به میزان کم شایع بوده ولی کانون مهم آن در مشکین شهر از توابع استان اردبیل است.

 فرم جلدی آن نیز خود از نظر حدت و شدت زخم و ضایعه به  دو نوع : شهری  یا خشک ( زخم محدود، کم عمق و بدون ترشح و خشک با دوره کمون 5-3 ماه) و نوع روستایی یا مرطوب ( زخم ها متعدد، بزرگ، عمیق و همراه با ترشحات چرکی و مرطوب با دوره کمون  دو هفته تا دو ماه ) است. در استان اصفهان هر دو نوع سالک شهری و روستایی  مشاهده می شود لاکن اصفهان مهمترین کانون سالک روستایی ایران است.

     طبق آمار سازمان بهداشت جهانی، در حال حاضر 350 میلیون نفر در دنیا در خطر درگیری با این بیماری قرار دارند و سالانه 2 میلیون نفر مبتلا می شوند. در ایران هر سال 15000 نفر به سالک مبتلا می شوند  که بر حسب تحقیقات میزان واقعی آن 3 تا 4 برابر این تعداد است. بیش از 90% موارد درگیری لیشمانیوز جلدی در 6 کشور ایران، افغانستان، عربستان، سوریه ، برزیل و پرو مشاهده می شود.

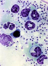
     عامل ایجاد کننده ی این بیماری تک یاخته ای انگلی از جنس لیشمانیا است که در مورد لیشمانیوز شهری بنام لیشمانیا تروپیکا (leishmania tropica) با حدود 20% موارد و در مورد نوع روستایی لیشمانیا ماژور(Leishmania major) با 80% موارد را به خود اختصاص می دهند. این انگل بسیار ریز بوده فقط با میکروسکوپ می توان آن را دید. این انگل در سیر تکاملی خود به دو شکل زیر دیده می شود. شکل 1 در نمونه تهیه شده از زخم انسان بیمار و شکل 2 در حشره ناقل(پشه خاکی) و محیط کشت  وقتی  انگل  1000   برابر بزرگتر شوندمشاهده می شود.                                                                          

                                                                                                   

                                                                                                              

                                                                                                                                                                                                                            

 

                                                                                                                 

                                                              

   شکل 1 : انگل لیشمانیا به اندازه                                     شکل 1 : انگل لیشمانیا به شکل اجسام دوک مانند

نقطه های تیره در نمونه زخم بیمار                                     در بدن پشه خاکی و همچنین در محیط کشت

دیده می شود(بزرگنمایی 1000 برابر)                               دیده می شود(بزرگنمایی 1000 برابر)

 

 

سیر تکاملی انگل لیشمانیا  : ادامه در پست آتی انشاا.